Przykłady zabiegów
Implanty zygomatyczne
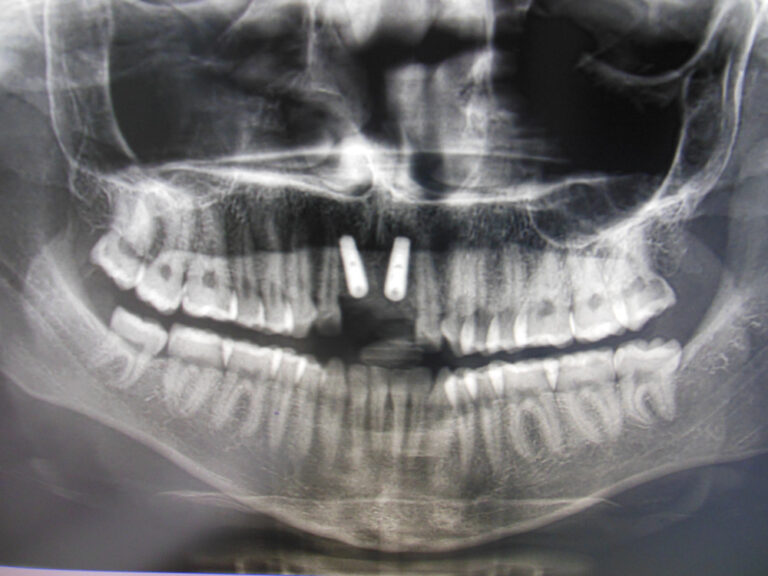
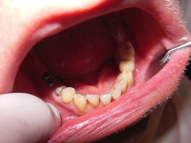
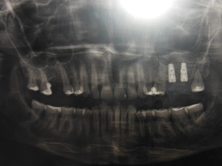
Przykłady implantologii
Zastosowanie implantoprotetyki w przypadku gdy klasyczna protetyka nie sprawdza się.
Ortodoncja CBCT
Leczenie chirurgiczno-ortodontyczne wad zębowych z zastosowaniem tomografii spiralnej CBCT w naszej klinice.
